Apa Itu Leukosit dan Perannya bagi Sistem Kekebalan Tubuh
Mengenal secara mendalam mengenai apa itu leukosit merupakan langkah awal yang krusial bagi siapa pun yang ingin memahami bagaimana tubuh manusia mempertahankan diri dari serangan penyakit. Secara biologis, leukosit atau yang lebih dikenal dengan sebutan sel darah putih adalah unit fungsional dari sistem kekebalan tubuh yang memiliki peran vital dalam mendeteksi, melawan, dan menetralisir berbagai mikroorganisme patogen seperti bakteri, virus, jamur, dan parasit.
Meskipun jumlahnya jauh lebih sedikit dibandingkan sel darah merah (eritrosit), peran sel darah putih tidak dapat disepelekan. Tanpa keberadaan leukosit yang cukup dan berfungsi dengan baik, tubuh manusia akan menjadi sangat rentan terhadap infeksi ringan sekalipun yang dapat berakibat fatal. Sel-sel ini diproduksi di dalam sumsum tulang dan beredar di seluruh aliran darah serta sistem limfatik, siap siaga merespons sinyal bahaya yang dikirimkan oleh jaringan yang mengalami kerusakan atau infeksi.
Memahami Apa Itu Leukosit dan Mekanisme Pertahanannya
Secara teknis, apa itu leukosit dapat didefinisikan sebagai komponen seluler darah yang tidak memiliki hemoglobin, sehingga warnanya tidak merah, melainkan jernih atau putih jika dilihat di bawah mikroskop dengan pewarnaan khusus. Mekanisme pertahanan yang dilakukan oleh leukosit sangat kompleks dan melibatkan koordinasi antarberbagai jenis sel untuk menciptakan respons imun yang efektif.

Ketika ada zat asing yang masuk ke dalam tubuh, leukosit akan bergerak menuju lokasi tersebut melalui proses yang disebut kemotaksis. Sel darah putih memiliki kemampuan unik untuk menembus dinding pembuluh darah (diapedesis) guna mencapai jaringan yang terinfeksi. Setelah sampai di lokasi, mereka akan melakukan fagositosis, yaitu proses menelan dan mencerna partikel asing atau sel-sel mati, sehingga ancaman tersebut dapat dieliminasi sebelum menyebar lebih luas ke organ lainnya.
Jenis-Jenis Sel Darah Putih dalam Tubuh Manusia
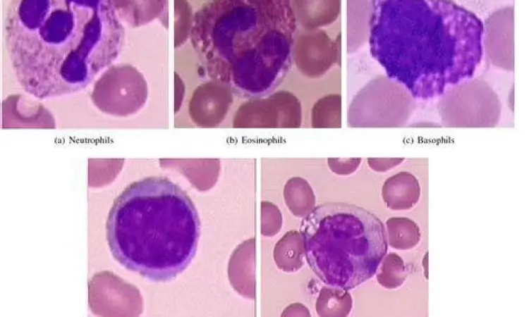
Leukosit bukanlah satu jenis sel tunggal, melainkan kelompok sel yang terdiri dari lima jenis utama dengan spesialisasi tugas yang berbeda-beda. Memahami perbedaan ini akan membantu Anda memahami hasil tes laboratorium darah secara lebih detail.
1. Neutrofil
Neutrofil adalah jenis leukosit yang paling banyak jumlahnya, mencakup sekitar 50% hingga 70% dari total sel darah putih. Mereka bertindak sebagai pasukan garda terdepan atau first responder saat terjadi infeksi bakteri akut atau peradangan jaringan. Neutrofil bekerja dengan cara melepaskan enzim yang menghancurkan mikroba atau dengan menelan bakteri secara langsung.
2. Limfosit
Limfosit adalah komponen kunci dalam sistem imun adaptif. Terdapat dua tipe utama limfosit, yaitu Sel B yang memproduksi antibodi untuk mengenali penjajah di masa depan, dan Sel T yang secara langsung menyerang sel tubuh yang telah terinfeksi virus atau sel kanker. Limfosit sangat penting dalam pembentukan memori imunologis, yang merupakan dasar dari cara kerja vaksinasi.
3. Monosit
Monosit memiliki masa hidup yang lebih lama dibandingkan neutrofil. Setelah beredar di darah, monosit akan berpindah ke jaringan dan berkembang menjadi makrofag. Tugas utamanya adalah sebagai penyapu atau pembersih sisa-sisa sel, bakteri, dan debris lainnya yang masih tertinggal setelah pertempuran melawan infeksi selesai.
4. Eosinofil
Eosinofil memiliki peran khusus dalam melawan infeksi parasit, seperti cacing. Selain itu, eosinofil juga terlibat aktif dalam respons alergi. Jika kadar eosinofil Anda tinggi, biasanya itu menandakan adanya reaksi alergi yang kuat atau adanya serangan parasit di dalam pencernaan atau jaringan tubuh.
5. Basofil
Meskipun jumlahnya paling sedikit (kurang dari 1%), basofil memegang peran penting dalam memicu respons peradangan. Basofil melepaskan senyawa kimia seperti histamin yang menyebabkan pelebaran pembuluh darah, sehingga sel-sel imun lainnya dapat mencapai lokasi infeksi dengan lebih cepat.
Kadar Normal Leukosit Berdasarkan Kategori Usia
Untuk mengetahui apakah kondisi kesehatan Anda dalam keadaan prima, dokter biasanya akan melakukan pemeriksaan hitung darah lengkap (CBC). Kadar leukosit yang normal menunjukkan bahwa sistem imun Anda sedang dalam kondisi stabil dan tidak sedang berperang melawan infeksi hebat.
| Kategori Usia | Rentang Normal (Sel per Mikroliter Darah) |
|---|---|
| Bayi Baru Lahir | 9.000 – 30.000 |
| Anak-Anak (2-5 Tahun) | 5.000 – 15.000 |
| Anak-Anak (6-12 Tahun) | 4.500 – 13.500 |
| Dewasa (Pria/Wanita) | 4.500 – 11.000 |
Perlu dicatat bahwa rentang normal ini bisa sedikit bervariasi tergantung pada laboratorium yang melakukan pengujian. Faktor-faktor seperti kehamilan, stres fisik yang ekstrem, atau penggunaan obat-obatan tertentu juga dapat memengaruhi angka-angka tersebut secara signifikan.

Apa Itu Leukosit Tinggi dan Rendah?
Ketidakseimbangan jumlah sel darah putih sering kali menjadi sinyal adanya masalah kesehatan yang mendasari. Dalam istilah medis, kondisi ini dikenal sebagai leukositosis dan leukopenia.
- Leukositosis (Kadar Tinggi): Terjadi ketika jumlah leukosit melebihi batas normal. Hal ini biasanya dipicu oleh infeksi bakteri, peradangan kronis, cedera fisik, stres berat, atau kondisi serius seperti leukemia. Tubuh memproduksi lebih banyak sel darah putih untuk merespons ancaman tersebut.
- Leukopenia (Kadar Rendah): Terjadi ketika jumlah sel darah putih berada di bawah batas normal. Kondisi ini berbahaya karena melemahkan kemampuan tubuh untuk melawan infeksi. Penyebabnya bisa karena gangguan sumsum tulang, penyakit autoimun, efek samping kemoterapi, atau infeksi virus yang merusak sel darah putih seperti HIV.
"Jumlah leukosit yang abnormal bukanlah sebuah penyakit berdiri sendiri, melainkan sebuah gejala atau indikator klinis yang menunjukkan adanya dinamika kesehatan yang perlu diselidiki lebih lanjut oleh tenaga medis profesional."
Gejala Umum Jika Terjadi Gangguan Kadar Leukosit
Meskipun perubahan kadar sel darah putih hanya bisa dipastikan melalui tes darah, tubuh sering kali memberikan sinyal atau gejala yang bisa kita rasakan. Jika Anda mengalami kondisi di bawah ini secara berkelanjutan, segera konsultasikan dengan dokter:
- Demam tinggi yang tidak kunjung turun atau sering kambuh.
- Merasa sangat lelah, lemas, dan lesu tanpa alasan yang jelas (kelelahan kronis).
- Sering mengalami infeksi yang sulit sembuh, seperti sariawan atau luka kulit yang bernanah.
- Pembengkakan kelenjar getah bening di area leher, ketiak, atau selangkangan.
- Penurunan berat badan yang drastis secara tiba-tiba.
- Munculnya memar atau perdarahan yang tidak wajar pada kulit.

Langkah Proaktif Menjaga Benteng Pertahanan Tubuh
Memahami apa itu leukosit membawa kita pada kesimpulan bahwa menjaga kesehatan sel darah putih sama dengan menjaga kelangsungan hidup itu sendiri. Keseimbangan kadar leukosit tidak bisa didapatkan secara instan, melainkan melalui akumulasi gaya hidup sehat yang konsisten. Nutrisi memegang peranan kunci; pastikan asupan Vitamin C, Vitamin D, dan Zinc terpenuhi untuk mendukung produksi sel imun yang berkualitas di sumsum tulang.
Selain nutrisi, manajemen stres dan pola tidur yang teratur sangat berpengaruh. Saat kita tidur, tubuh melepaskan sitokin, sejenis protein yang membantu sistem imun merespons ancaman dengan lebih efektif. Sebaliknya, stres kronis akan meningkatkan hormon kortisol yang justru dapat menekan fungsi sel darah putih dalam jangka panjang. Hindari juga paparan zat kimia berbahaya dan kebiasaan merokok yang dapat merusak struktur sel darah Anda secara permanen.
Sebagai rekomendasi akhir, lakukanlah pemeriksaan kesehatan secara berkala minimal satu tahun sekali. Dengan mendeteksi dini fluktuasi jumlah sel darah putih, Anda dapat melakukan intervensi medis lebih awal sebelum terjadi komplikasi yang lebih berat. Ingatlah bahwa imunitas yang kuat adalah investasi jangka panjang terbaik yang bisa Anda berikan untuk diri sendiri. Sekarang setelah Anda mengetahui secara mendalam mengenai apa itu leukosit, saatnya menerapkan pola hidup yang mendukung performa sel-sel pelindung ini agar tubuh tetap tangguh menghadapi berbagai tantangan kesehatan di masa depan.
What's Your Reaction?
-
0
Like -
0
Dislike -
0
Funny -
0
Angry -
0
Sad -
0
Wow