Ciri Ciri TBC yang Sering Diabaikan dan Cara Mengenalinya
- Karakteristik Batuk Kronis sebagai Gejala Utama
- Gejala Fisik Sistemik yang Menyertai Infeksi Bakteri
- Penyebab dan Mekanisme Penularan Mycobacterium Tuberculosis
- Kapan Harus Segera Melakukan Pemeriksaan Medis
- Langkah Proteksi Diri dan Lingkungan Sekitar
- Menghapus Stigma dan Memulai Langkah Kesembuhan
Penyakit Tuberkulosis atau yang lebih dikenal dengan singkatan TBC masih menjadi tantangan kesehatan masyarakat yang signifikan di Indonesia. Memahami secara mendalam mengenai ciri ciri tbc bukan sekadar menambah wawasan medis, melainkan sebuah langkah preventif yang dapat menyelamatkan nyawa. Penyakit yang disebabkan oleh infeksi bakteri ini sering kali muncul dengan gejala yang samar, sehingga banyak penderita yang terlambat mendapatkan penanganan karena menganggapnya sebagai gangguan pernapasan biasa atau kelelahan kronis.
Infeksi ini bersifat persisten dan menyerang organ paru-paru sebagai target utamanya, meskipun dalam beberapa kasus bakteri dapat menyebar ke bagian tubuh lain seperti tulang, kelenjar getah bening, hingga otak. Kecepatan dalam mengidentifikasi ciri ciri tbc sangat menentukan tingkat keberhasilan pengobatan yang biasanya memakan waktu minimal enam bulan. Tanpa deteksi dini, risiko penularan kepada anggota keluarga dan lingkungan sekitar akan meningkat secara eksponensial melalui droplet di udara.
Karakteristik Batuk Kronis sebagai Gejala Utama
Indikator paling klasik dan sering menjadi alarm pertama adalah batuk yang tidak kunjung sembuh. Namun, batuk pada penderita TBC memiliki spesifikasi tertentu yang membedakannya dengan batuk akibat flu atau alergi. Batuk ini biasanya berlangsung lebih dari tiga minggu dan cenderung meningkat intensitasnya seiring berjalannya waktu. Bakteri Mycobacterium tuberculosis merusak jaringan paru secara perlahan, yang memicu respons peradangan terus-menerus di saluran pernapasan.
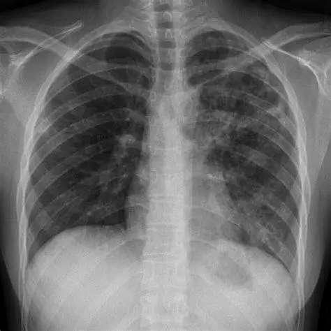
Selain durasinya yang lama, batuk ini sering kali disertai dengan dahak (sputum) yang kental. Pada stadium yang lebih lanjut, kerusakan pembuluh darah di paru-paru dapat menyebabkan batuk darah (hemoptisis). Kondisi ini merupakan tanda bahaya yang mengharuskan pasien segera melakukan pemeriksaan rontgen dada atau tes dahak di fasilitas kesehatan terdekat. Berikut adalah tabel perbandingan untuk memudahkan Anda membedakan antara batuk biasa dengan batuk yang mengarah pada gejala klinis tuberkulosis.
| Karakteristik | Batuk Biasa (Flu/Alergi) | Ciri Ciri TBC Paru |
|---|---|---|
| Durasi | 3 - 7 Hari | Lebih dari 3 Minggu |
| Dahak | Jernih atau Kuning Muda | Kental, Hijau, atau Bercampur Darah |
| Nyeri Dada | Jarang Terjadi | Sering Terasa Sesak dan Nyeri |
| Respons Obat | Sembuh dengan Obat Warung | Tidak Mempan dengan Obat Batuk Biasa |

Gejala Fisik Sistemik yang Menyertai Infeksi Bakteri
Selain masalah pada sistem pernapasan, ciri ciri tbc juga memengaruhi kondisi fisik secara sistemik atau menyeluruh. Salah satu gejala yang sangat khas adalah keringat dingin di malam hari meskipun cuaca tidak panas atau penderita tidak melakukan aktivitas fisik yang berat. Fenomena ini terjadi karena sistem imun tubuh sedang bekerja ekstra keras melawan infeksi bakteri pada saat suhu tubuh cenderung fluktuatif di malam hari.
Penurunan berat badan secara drastis tanpa alasan yang jelas juga menjadi pertanda kuat. Penderita TBC sering kehilangan nafsu makan yang signifikan karena tubuh melepaskan sitokin (zat peradangan) yang menekan pusat lapar di otak. Jika Anda atau orang terdekat mengalami penurunan berat badan lebih dari 5 persen dalam sebulan tanpa diet, hal ini patut diwaspadai sebagai salah satu manifestasi dari infeksi tuberkulosis aktif.
"Deteksi dini melalui pemeriksaan BTA (Bakteri Tahan Asam) adalah standar emas dalam memutus rantai penularan TBC di lingkungan keluarga dan komunitas." - Pakar Pulmonologi.
Demam yang tidak terlalu tinggi (subfebris) namun berlangsung lama juga sering dilaporkan. Demam ini biasanya muncul pada sore atau malam hari dan mereda di pagi hari, menciptakan pola yang melelahkan bagi penderita. Rasa lemas yang luar biasa (malaise) juga akan menyertai, membuat aktivitas sehari-hari menjadi terasa sangat berat bagi pengidapnya.
Penyebab dan Mekanisme Penularan Mycobacterium Tuberculosis
Memahami ciri ciri tbc tidak lengkap tanpa mengetahui bagaimana penyakit ini berpindah dari satu individu ke individu lainnya. Penyebab utamanya adalah bakteri Mycobacterium tuberculosis yang berbentuk batang. Bakteri ini sangat tangguh dan bisa bertahan hidup di area yang lembap dan minim sinar matahari. Penularan terjadi melalui udara (airborne) ketika pengidap TBC aktif batuk, bersin, atau berbicara tanpa menutup mulut.
Penting untuk dicatat bahwa tidak semua orang yang menghirup bakteri ini akan langsung jatuh sakit. Ada kondisi yang disebut TBC Laten, di mana bakteri ada di dalam tubuh namun sistem imun mampu menekannya sehingga penderita tidak menunjukkan gejala dan tidak menularkan. Namun, jika sistem imun melemah, TBC Laten dapat berubah menjadi TBC Aktif yang sangat menular. Oleh karena itu, menjaga ventilasi rumah tetap baik dan membiarkan sinar matahari masuk adalah langkah krusial dalam mematikan bakteri ini di lingkungan rumah.

Faktor Risiko yang Meningkatkan Kerentanan
Beberapa kelompok individu memiliki risiko lebih tinggi untuk menunjukkan ciri ciri tbc aktif setelah terpapar bakteri, di antaranya:
- Individu dengan sistem imun rendah seperti pengidap HIV/AIDS.
- Penderita penyakit kronis seperti diabetes melitus atau gagal ginjal.
- Orang yang mengalami malnutrisi atau kekurangan gizi kronis.
- Perokok aktif karena fungsi pembersihan mukosilier di paru-paru telah rusak.
- Petugas medis yang sering berinteraksi dengan pasien tanpa alat pelindung diri yang memadai.
Kapan Harus Segera Melakukan Pemeriksaan Medis
Jika Anda merasakan beberapa ciri ciri tbc yang telah disebutkan di atas, jangan menunda untuk mencari bantuan profesional. Diagnosis medis yang akurat adalah satu-satunya cara untuk memastikan apakah gejala tersebut benar-benar tuberkulosis atau penyakit paru lainnya seperti bronkitis atau pneumonia. Keterlambatan diagnosis sering kali berujung pada kerusakan paru permanen atau penularan ke organ lain.
Prosedur Diagnosis di Fasilitas Kesehatan
Dokter biasanya akan melakukan serangkaian tes untuk mengonfirmasi keberadaan bakteri di dalam tubuh Anda. Berikut adalah langkah-langkah diagnosis yang umum dilakukan:
- Tes Dahak (BTA/TCM): Mengambil sampel dahak untuk dilihat di bawah mikroskop atau melalui Tes Cepat Molekuler (TCM) yang lebih akurat.
- Rontgen Dada (X-Ray): Melihat adanya bercak putih atau lubang (kavitas) pada organ paru-paru.
- Tes Mantoux: Penyuntikan protein kuman TBC di bawah kulit untuk melihat reaksi alergi/imun tubuh.
- Tes Darah IGRA: Prosedur laboratorium modern untuk mendeteksi respons imun terhadap kuman TBC secara lebih spesifik.

Langkah Proteksi Diri dan Lingkungan Sekitar
Mencegah lebih baik daripada mengobati. Selain mengenali ciri ciri tbc, tindakan pencegahan harus dilakukan secara kolektif. Salah satu cara paling efektif adalah dengan pemberian vaksin BCG (Bacillus Calmette-Guerin) pada bayi yang baru lahir untuk memberikan perlindungan terhadap bentuk TBC yang berat seperti meningitis TBC. Bagi orang dewasa, menjaga gaya hidup sehat dan etika batuk adalah kunci utama.
Etika batuk yang benar mencakup penggunaan masker jika sedang sakit, menutup mulut dengan lengan dalam atau tisu saat bersin, dan segera membuang tisu tersebut ke tempat sampah tertutup. Memastikan sirkulasi udara di tempat kerja dan rumah tetap optimal juga sangat membantu, karena bakteri TBC sangat rentan terhadap sinar ultraviolet (UV) langsung dari matahari.
Menghapus Stigma dan Memulai Langkah Kesembuhan
Mengidentifikasi ciri ciri tbc pada diri sendiri atau orang lain bukanlah hal yang memalukan. Stigma negatif di masyarakat sering kali membuat penderita merasa terkucilkan, padahal dukungan emosional sangat dibutuhkan selama masa pengobatan yang panjang. TBC adalah penyakit yang bisa disembuhkan secara total asalkan pasien patuh mengonsumsi obat sesuai instruksi dokter tanpa terputus. Putusnya konsumsi obat di tengah jalan justru sangat berbahaya karena dapat menyebabkan bakteri menjadi kebal terhadap obat atau yang dikenal dengan TBC Resisten Obat (MDR-TB).
Vonis akhir bagi setiap orang yang mengalami gejala ini adalah segera bertindak. Jangan menunggu hingga sesak napas menjadi parah atau berat badan menyusut habis. Rekomendasi terbaik adalah segera mengunjungi Puskesmas atau Rumah Sakit terdekat jika Anda mengalami batuk lebih dari dua minggu. Dengan penanganan yang tepat dan dukungan nutrisi yang baik, kesembuhan total bukan hanya sekadar harapan, melainkan sebuah kepastian medis. Kesehatan paru-paru Anda adalah investasi masa depan yang tidak ternilai harganya, maka kenalilah ciri ciri tbc sekarang juga sebelum terlambat.
What's Your Reaction?
-
0
Like -
0
Dislike -
0
Funny -
0
Angry -
0
Sad -
0
Wow