Ciri Usus Buntu dan Gejala Awal yang Wajib Diwaspadai
Mengenali ciri usus buntu sejak dini merupakan langkah krusial yang dapat menyelamatkan nyawa seseorang. Apendisitis atau peradangan pada usus buntu (umbai cacing) bukanlah kondisi medis yang bisa disepelekan karena jika terlambat ditangani, usus buntu dapat pecah dan menyebabkan infeksi luas di dalam rongga perut yang mengancam jiwa. Seringkali, orang keliru menganggap nyeri perut biasa sebagai gejala maag atau gangguan pencernaan ringan, padahal pola nyeri pada usus buntu memiliki karakteristik yang sangat spesifik. Dalam dunia medis, usus buntu adalah organ berbentuk tabung kecil yang menempel pada usus besar di sisi kanan bawah perut. Meskipun fungsinya pada orang dewasa masih sering diperdebatkan, peradangan pada organ ini memerlukan penanganan bedah segera. Memahami bagaimana ciri usus buntu berkembang dari jam ke jam akan membantu Anda membuat keputusan tepat kapan harus segera menuju instalasi gawat darurat (IGD) sebelum komplikasi peritonitis terjadi.
Karakteristik Nyeri Perut sebagai Ciri Usus Buntu Utama
Gejala yang paling klasik dan sering muncul pertama kali adalah nyeri perut yang memiliki pola unik. Berbeda dengan sakit perut akibat salah makan, nyeri usus buntu biasanya dimulai dari area sekitar pusar (umbilikus). Nyeri ini bersifat tumpul dan hilang timbul pada awalnya, namun dalam waktu beberapa jam, rasa sakit tersebut akan berpindah secara perlahan menuju perut bagian kanan bawah.
Titik nyeri ini dikenal dalam istilah medis sebagai Titik McBurney. Ketika peradangan semakin parah, nyeri akan terasa semakin tajam dan menetap. Rasa sakit ini biasanya akan bertambah hebat saat Anda melakukan gerakan mendadak, batuk, bersin, atau bahkan saat menarik napas dalam. Jika Anda menekan area perut kanan bawah lalu melepaskannya dengan cepat, akan muncul rasa sakit yang menyengat (rebound tenderness), yang merupakan indikasi kuat adanya peradangan pada peritoneum.

Gejala Gastrointestinal Penyerta
Selain nyeri perut yang hebat, ciri usus buntu juga melibatkan berbagai gangguan pada sistem pencernaan. Karena usus buntu terhubung langsung dengan usus besar, peradangan yang terjadi akan mengganggu peristaltik usus normal. Berikut adalah beberapa gejala penyerta yang sering dilaporkan oleh pasien:
- Mual dan Muntah: Biasanya muncul setelah nyeri perut dimulai. Jika muntah terjadi sebelum nyeri perut, kemungkinan besar itu adalah indikasi gastroenteritis, bukan apendisitis.
- Kehilangan Nafsu Makan: Hampir semua penderita usus buntu mengalami penurunan nafsu makan secara drastis (anoreksia).
- Gangguan BAB: Beberapa orang mengalami sembelit (konstipasi) yang parah, sementara yang lain justru mengalami diare ringan.
- Perut Kembung: Adanya gas yang terperangkap karena usus tidak berfungsi optimal akibat peradangan.
Untuk membedakan antara nyeri perut biasa dengan usus buntu, tabel di bawah ini memberikan perbandingan sederhana yang dapat Anda jadikan referensi awal:
| Gejala | Sakit Perut Biasa / Maag | Ciri Usus Buntu (Apendisitis) |
|---|---|---|
| Lokasi Nyeri | Ulu hati atau seluruh perut | Berpindah dari pusar ke kanan bawah |
| Intensitas | Hilang timbul dengan obat maag | Semakin tajam dan progresif |
| Demam | Jarang terjadi | Demam ringan hingga tinggi |
| Nafsu Makan | Bisa tetap normal | Hampir pasti hilang total |
Demam dan Respons Tubuh Terhadap Infeksi
Munculnya demam merupakan tanda bahwa tubuh sedang berjuang melawan infeksi aktif. Pada fase awal ciri usus buntu, suhu tubuh biasanya hanya naik sedikit (sekitar 37,5 - 38 derajat Celcius). Namun, jika usus buntu sudah pecah atau terjadi abses, suhu tubuh bisa melonjak tinggi disertai dengan menggigil dan peningkatan denyut jantung.
"Apendisitis adalah kondisi 'surgical emergency'. Penundaan diagnosis lebih dari 24-48 jam secara signifikan meningkatkan risiko perforasi usus buntu yang dapat berujung pada sepsis."

Perbedaan Ciri Usus Buntu pada Anak dan Lansia
Sangat penting untuk dicatat bahwa ciri usus buntu tidak selalu muncul secara klasik pada setiap orang, terutama pada anak-anak dan lansia. Pada anak kecil, mereka mungkin tidak bisa menjelaskan rasa sakitnya secara spesifik dan hanya terlihat sangat rewel, menekuk kaki ke arah perut, atau mengalami muntah yang sering. Sementara itu, pada lansia, gejala seringkali terasa lebih ringan atau tidak spesifik (atipikal). Mereka mungkin tidak mengalami demam tinggi atau nyeri yang tajam, melainkan hanya merasa kembung atau tidak enak badan secara umum. Ketidaksamaan gejala ini seringkali menyebabkan keterlambatan diagnosis pada kelompok usia rentan, sehingga tingkat risiko komplikasi menjadi lebih tinggi.
Penyebab Utama Terjadinya Peradangan
Apa yang sebenarnya menyebabkan usus buntu meradang? Secara medis, penyebab utamanya adalah penyumbatan pada lapisan usus buntu yang menyebabkan infeksi. Beberapa faktor pemicunya antara lain:
- Fekalit: Penumpukan feses yang mengeras dan menyumbat lubang usus buntu.
- Hiperplasia Limfoid: Pembengkakan jaringan limfa di dinding usus, seringkali dipicu oleh infeksi saluran pernapasan atau pencernaan sebelumnya.
- Parasit atau Benda Asing: Meskipun jarang, cacing usus atau sisa makanan yang sulit dicerna bisa menjadi penyebab sumbatan.
- Tumor: Pertumbuhan sel abnormal di area usus buntu.

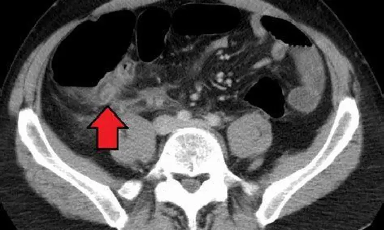
Metode Diagnosis dan Penanganan Medis
Jika Anda merasakan ciri usus buntu seperti yang dijelaskan di atas, dokter akan melakukan serangkaian tes untuk mengonfirmasi diagnosis. Langkah pertama adalah pemeriksaan fisik, termasuk tes Rovsing (nyeri di kanan bawah saat perut kiri ditekan) dan tes Psoas. Selain itu, tes darah lengkap akan dilakukan untuk melihat kenaikan jumlah sel darah putih (leukosit) yang menandakan infeksi. Metode pencitraan seperti USG abdomen atau CT Scan adalah standar emas untuk melihat kondisi usus buntu secara visual. Jika diagnosis positif, tindakan paling umum adalah apendektomi, yaitu operasi pengangkatan usus buntu. Saat ini, prosedur ini banyak dilakukan dengan teknik laparoskopi (lubang kunci) yang memiliki masa pemulihan jauh lebih cepat dibandingkan operasi terbuka konvensional.
Langkah Penyelamatan dan Vonis Akhir
Hingga saat ini, tidak ada cara yang benar-benar pasti untuk mencegah apendisitis karena penyumbatan sering terjadi secara spontan. Namun, mengonsumsi makanan tinggi serat seperti buah dan sayuran dipercaya dapat membantu melancarkan sistem pencernaan dan mengurangi risiko terbentuknya fekalit yang menjadi pemicu utama sumbatan usus buntu. Rekomendasi terbaik bagi siapa pun yang merasakan nyeri perut kanan bawah yang progresif adalah: Jangan mengonsumsi obat pencahar atau obat pereda nyeri sembarangan sebelum berkonsultasi dengan dokter. Obat pencahar dapat meningkatkan risiko usus buntu pecah, sementara obat pereda nyeri dapat menutupi gejala yang sebenarnya sehingga diagnosis menjadi sulit dilakukan. Segera cari bantuan medis jika Anda merasakan ciri usus buntu yang semakin intens demi menghindari komplikasi jangka panjang yang berbahaya bagi kesehatan Anda.
What's Your Reaction?
-
0
Like -
0
Dislike -
0
Funny -
0
Angry -
0
Sad -
0
Wow